Woking & Surrey
Teeth Whitening
Teeth Whitening in
Woking & Surrey
We often hear clients say that the colour of their teeth leaves them not wanting to smile. When you consider that our smile is often the first thing people notice about us you can understand why people may feel self-conscious.
Food, drink, smoking, ineffective dental hygiene and even certain medications can all contribute to staining and discolouration of your teeth.
Our professional teeth whitening system removes stubborn stains to restore your smile without damaging or weakening your teeth.

Has your smile
lost its sparkle?
Teeth can lose their natural brightness over time due to what we eat and drink. Coffee, red wine, spicy foods, and smoking can all cause staining. But don’t worry! Our safe and effective teeth whitening treatment can restore your smile’s natural sparkle.
Patients throughout Guildford, West Byfleet, Pyrford, Byfleet, Horsell, Knaphill and throughout Surrey are choosing to have their teeth Whitened.

Enlighten Professional Whitening
Trusted by dentists across the UK, Enlighten Whitening guarantees a B1 shade—the brightest natural white—when used as directed. This two-week, dentist-supervised home system offers maximum results with minimal sensitivity.
At Woking Dental Care, we’ll customise the Enlighten experience to deliver safe, stunning results you can trust.
Boutique
Professional Whitening
Boutique Whitening offers powerful, professional results in the comfort of your home. Using custom-made trays and high-strength whitening gel, this system removes deep stains and brightens your smile in as little as two weeks.
Our Surrey dentists ensure a perfect fit and provide guidance throughout your treatment. It’s whitening on your terms—with long-lasting results.
White Dental
Beauty
White Dental Beauty is a clinically approved teeth whitening system that delivers impressive results with minimal sensitivity. Ideal for patients seeking a brighter, more youthful smile, this dentist-led treatment is safe and effective.
At Woking Dental Care In Surrey & Camberley, we personalise your whitening plan to suit your goals and lifestyle. Book a consultation to find out more.
White Dental
Beauty Strips
Brighten your smile at home with our White Dental Beauty Strips. These professional-grade strips are safe, easy to apply, and designed to gently lift everyday stains from your teeth. With consistent use over 14 days, you’ll notice visibly whiter teeth – no mess or sensitivity.
Ask our Surrey dental team how these strips can enhance your smile quickly and conveniently.
Icon Spot
Treatment
Icon Spot Treatment is a gentle, non-invasive solution for white spots and mottling caused by fluorosis or early decay. Unlike traditional methods, Icon requires no drilling, injections, or enamel removal.
In just one visit to Woking Dental Care In Surrey & Camberley, you can restore a smoother, more uniform smile—quickly and painlessly.
Benefits of Teeth Whitening
In Surrey
More people are now paying attention to how their teeth look. This includes the shape, size and colour. If you are like thousands of other patients who are wanting to whiten teeth to improve your smile, then you could consider Boutique teeth whitening here at Woking Dental. The benefits include:
Within a short time, your teeth will appear whiter and brighter, boosting your confidence and giving you even more reason to smile.
Whitening your teeth using Boutique means you can whiten teeth in the privacy of your own home at a time that is convenient to you. For most people this means whitening overnight
With Boutique teeth whitening, you can brighten your smile in the comfort and privacy of your own home, at a time that suits you. For most people, this means whitening their teeth overnight.
With Boutique teeth whitening, your treatment is supervised by a dental specialist who prescribes the correct strength and amount of whitening gel, ensuring you are in safe hands.
Boutique teeth whitening delivers sparkling results while being pH-neutral, so it won’t harm your teeth. Its gentle formula is also suitable for those with sensitive teeth.
Combine teeth whitening with Invisalign
or Teeth Bonding
More people are now paying attention to how their teeth look. This includes the shape, size and colour. If you are like thousands of other patients who are wanting to whiten teeth to improve your smile, then you could consider Boutique teeth whitening here at Woking Dental. The benefits include:
- Invisalign
- Cosmetic orthodontics
- Teeth bonding
Teeth Whitening After Invisalign in Camberley
Once your teeth have been beautifully straightened by Invisalign braces, you’ll be smiling all day, every day. That’s why we suggest teeth whitening as a follow-up treatment once your Invisalign process is complete so that your smile looks as radiant and bright as you feel.
Teeth Whitening After Composite Bonding in Camberley
Our expert dentists In Surrey & Camberley have been applying teeth bonding resin to improve the look and feel of natural teeth for many years.
It can fill in gaps or cracks in teeth, and they use specialist colour charts to ensure the colour of the resin they use matches the colour of your natural teeth perfectly. However, it may be that you would prefer the rest of your teeth to be whiter.
This is the perfect opportunity to choose teeth whitening and lift the colour of your natural teeth here In Surrey & Camberley & Camberley so that the resin your dentist chooses can match the colour you would prefer your smile to be.
Teeth Whitening After
Invisalign In Surrey
After your teeth have been beautifully straightened with Invisalign, you’ll want a smile that truly shines. That’s why we recommend teeth whitening as a follow-up treatment to ensure your smile is as bright and radiant as you feel.
Teeth Whitening After
Composite Bonding In Surrey
Our expert dentists in Surrey have years of experience using dental bonding to enhance the appearance and feel of natural teeth. This treatment can fill gaps or repair cracks, with specialist colour charts ensuring the resin perfectly matches your teeth.
If you’d like a brighter smile, teeth whitening is an ideal option before bonding. Whitening your natural teeth first allows your dentist to match the resin to your preferred shade, giving you a beautifully balanced and radiant smile.
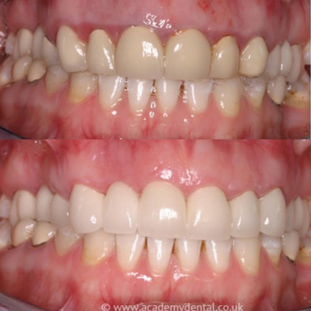
Before & After
Teeth Whitening
Teeth Whitening
Faqs
Does teeth whitening hurt?
Teeth whitening performed by a dental professional is generally pain-free. Some patients may notice mild tingling from the whitening gel, but this is harmless and temporary. If you have sensitive teeth, your dentist can recommend the most suitable whitening treatment for a comfortable experience.
Do I need to change my diet while using Boutique teeth whitening?
While using Boutique teeth whitening, it’s best to avoid dark-coloured foods and drinks for at least an hour after each whitening session. Apart from that, you can continue to eat and drink as usual.
Will teeth whitening affect my fillings?
Teeth whitening does not lighten dental restorations such as fillings, crowns, veneers, or bonding. To achieve the best cosmetic results, it’s recommended to complete teeth whitening first, then update or replace any existing restorations if needed.

